Lompat ke konten Lompat ke sidebar Lompat ke footer

Get Periodontal Bone Loss Images

Get Periodontal Bone Loss Images. In periodontal disease, not only does the bone that supports the teeth, known as alveolar bone, reduce in height in relation to the teeth, but the morphology of the remaining alveolar bone is altered. Bone loss is most commonly associated with the following diseases:

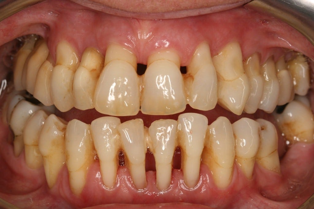
Severe Periodontal Disease Causes Bone Loss And Tooth Loss Mcclintock Family Dental
Severe Periodontal Disease Causes Bone Loss And Tooth Loss Mcclintock Family Dental from www.mcclintockfamilydental.com
Inflammation and bone loss are hallmarks of periodontal disease (pd). Horizontal bone loss is the most common pattern ol bone loss in periodontal disease. It can normally be prevented through good oral hygiene.

Home » radiographic interpretation » periodontal radiographic assessment:

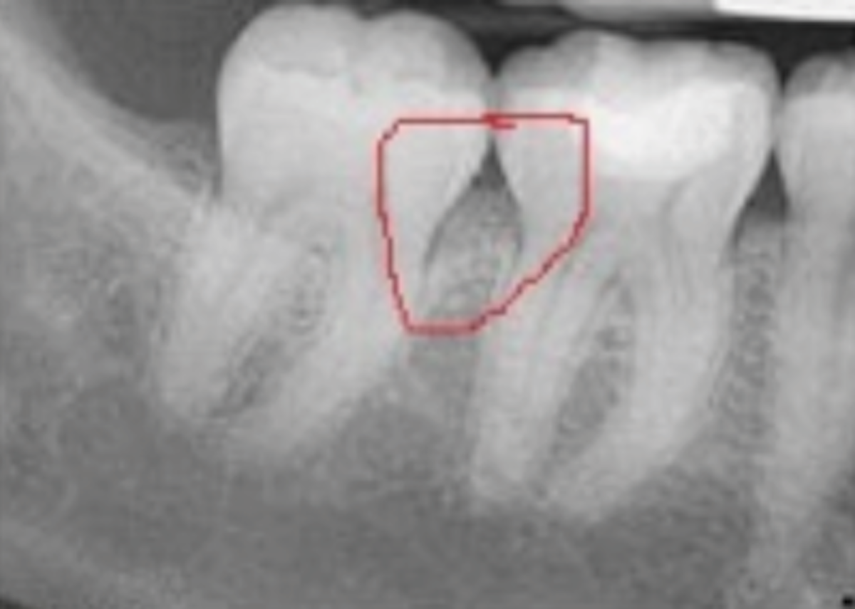
Radiographic indication of interproximal bone loss occurs when the distance between the cej and the alveolar the percentage of subjects with periodontal bone loss was computed for each age bracket. Title radiographic alveolar bone loss in patients. Accumulated evidence demonstrates that pd involves bacterially derived factors. The bacteria responsible for periodontitis can enter your bloodstream through gum tissue, possibly affecting other parts of your body.

Posting Komentar untuk "Get Periodontal Bone Loss Images"