Lompat ke konten Lompat ke sidebar Lompat ke footer

Get Crestal Bone UK

Get Crestal Bone UK. The surface of the bone combs, smooth, covered with a thin layer of bark (dense, solid bone, which can. What can one do to help minimize the crestal bone remodling post dental implant surgery?

A Randomized Clinical Study To Compare Implant Stability And Bone Loss Using Early Loading Protocol In Two Implant Systems With Different Design Ranabhatt R Singh K Siddharth R Tripathi S Arya D
A Randomized Clinical Study To Compare Implant Stability And Bone Loss Using Early Loading Protocol In Two Implant Systems With Different Design Ranabhatt R Singh K Siddharth R Tripathi S Arya D from www.j-ips.org
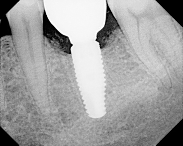
See more ideas about crystals, rocks and minerals, stones and crystals. The concept refers to placing screwed or friction fit restorative abutments of narrower diameter on implants of wider diameter, rather than placing abutments of similar diameters. In dentistry, platform switching is a method used to preserve alveolar bone levels around dental implants.

On basis of these results, null.

Alveolar bone is that part of the maxilla and mandible which supports the teeth by forming the other attachment for fibres of the periodontal ligament (fig. In dentistry, platform switching is a method used to preserve alveolar bone levels around dental implants. Crestal bone loss has been documented as one of the important factors that affect the long term prognosis of implant supported restoration 16. The concept refers to placing screwed or friction fit restorative abutments of narrower diameter on implants of wider diameter, rather than placing abutments of similar diameters.

Posting Komentar untuk "Get Crestal Bone UK"